Canon EOS 40D
Performance Review and Microscope Application

The following images and data are from initial performance evaluation on the Canon EOS 40D for general photography and photomicroscopy. I was most interested in the 40D's performance (resolution and MTF) relative to the 20D and 400D (Digital Rebel) XTi and the quality of newly-introduced features of remote capture and live preview. I also assessed autofocus and low-light focusing function.

Resolution and 50% MTF Performance

Methods Used for Resolution and 50% MTF


Resolution of the 40D and XTi are comparable and significantly better than that of the 20D

Closely comparable performance between the 40D and XTi were found for 50% MTF (much better than that of the 20D)

Central USAF 1951 Pattern Detail @ f/1.4 and f/5.6
EF 50mm f/1.4 Lens
40D image quality is significantly better than that of the 20D and slightly better than the XTi
Corner USAF 1951 Detail @
EF 50mm f/1.4 Lens
40D image quality is significantly better than that of the 20D and slightly better than the XTi

Parking Garage Target - Resolution detail, noise and shadow detail

Full frame image
EF 35mm f/1.4L lens @ f/8 ISO 100. All images shot from same location on tripod.
All images processed in standard settings in Digital Photo Profesional v. 3.1 from RAW in 16 bit 300 dpi Tiff files. Files converted to 8 bit jpg's for web pages after processing. Slight unsharp mask applied to all images. Cameras at default standard tone/color settings and automatic white balance. It was raining lightly.
Detail from Center of Frame
40D and XTi images are of similar quality and clearly superior to that produced by the 20D

Canon 40D Picture Style Variations of this area
Maximum Shadow Detail from Center of Frame
The 40D has slightly better shadow detail and less noise than the XTi
Same RAW image processed in DPP with +2.0 brightness. Slight (similar) auto contrast and fade autocontrast adjustment in Photoshop CS2 and same unsharp mask applied to images.

I-75 Autofocus Test

Autofocus speed and tracking is greatly improved with the 40D

I put cameras on auto servo and tracked trucks on Interstate 75 coming towards me at about 70 mph from an overpass with an EF 135mm f/2L lens at f/2.8 (ISO 200). A series of 7 to 12 images were taken at high speed shutter release until the truck passed under me. Only the central focus point was used and the radiator grill was the focus point. The last 5 images were assessed for focus accuracy. A total of 10 tests per camera were run (i.e., 50 exposures), and the number of in-focus images recorded out of 50.

Low Light Autofocus Test
Low light focusing is greatly improved with the 40D compared to the 20D. As expected, high ISO noise at ISO 1600 is reduced with the 40D.

Results:
EOS-1D Mark II:
Focused immediately on the text in low light.

EOS-40D
Focused immediately on the text in low light.

EOS-20D
Hunted back and forth and eventually locked on the text.

EOS 400D (Digital Rebel) XTi
Would not focus on the text. Lens had to be manually focused.
My office was illuminated with a 15W fluorescent bulb bounced off the wall indirectly. Cameras were mounted on a tripod and exposures taken at f/2 with an EF 85mm f/1.8 lens and cameras set at ISO 1600. The lettering on the spine of the center book was used as a focus point with only the central focus point activated. Images were processed with DPP from RAW images and resized for the displayed photos. All images are ISO 1600 with white balance on the camera set for fluorescent light.

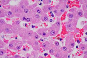
40D Use in Photomicroscopy

I'm an academic veterinary pathologist who uses light microscopic images for diagnostic, research and teaching activities. The new features of the 40D that were most exciting to me were the live preview and remote capture features with high resolution image potential. Live preview allows real-time scanning and precise focusing with a microscope (photomicroscope). The remote capture software allows easy, intuitive operational control for all camera functions from the computer screen with a mouse via one USB 2 connection. Live preview sessions rapidly deplete the battery. It is best to use a Canon AC converter with the camera.


Detail of liver from a cat that died with an adverse drug reaction. Images made with 40X and 60X Nikon planapo objectives and Canon 40D camera with live preview compared to Canon 20D and Canon 400D XTi focused through angle finder.
Click here for microscope setup detail and screen captures of Canon software for remove capture and live preview.

Conclusions

Other observations on improvements in the 40D over the 20D and XTi:

Index

Posted 02 September 2007; Last updated 65 September 2007

© 2007, William L. Castleman